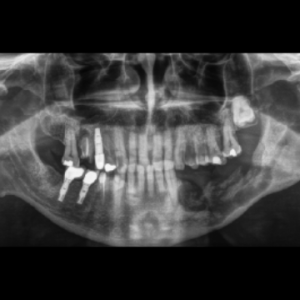
La sobrecarga provocada por el bruxismo puede afectar a la supervivencia de los implantes dentales. El objetivo del presente estudio fue evaluar el fracaso del implante y la pérdida ósea marginal...
La prevalencia de hipertensión entre adultos de 30 a 79 años en 2019 fue del 32% en mujeres y del 34% en hombres, lo que la convierte en una de las afecciones médicas crónicas más comunes en...
La longevidad de los dientes, las restauraciones dentales y los implantes dentales está influenciada por una serie de factores, relacionados con los materiales utilizados, factores técnicos y...
Implantología 07 Febrero 2024
Antecedentes y objetivoLa implantología dental ha revolucionado la rehabilitación bucal, ofreciendo una solución sofisticada para restaurar los dientes perdidos. A pesar de los avances, persisten...
Implantología 31 Octubre 2023
FondoHoy en día los implantes dentales representan una terapia eficaz en caso de edentulismo parcial o total, con una excelente tasa de éxito. A pesar de los resultados obtenidos, durante la...
Implantología 02 Agosto 2023
IntroducciónLos implantes de zirconia se introdujeron en el mercado en la década de 1990 como una alternativa a los implantes de titanio. Los primeros implantes de zirconia eran implantes de una...
La estabilidad del hueso marginal y del tejido blando alrededor de los implantes dentales se ha establecido como la principal característica para asegurar la salud del implante.La condición...
Los implantes utilizados para reemplazar los dientes molares presentan problemas de distribución del espacio y contornos de la corona que son exclusivos de estos sitios. Debido a que el diámetro...
Implantología 17 Marzo 2023
Los dientes humanos extraídos se han utilizado durante mucho tiempo en la realización de investigaciones dentales, como la evaluación de materiales cerámicos dentales como una restauración de...
La investigación tuvo como objetivo evaluar el tratamiento de dentaduras con implantes maxilares soportados por barras cuando se apoyan en cuatro o seis implantes después de 10 años.Los pacientes...
Implantología 06 Febrero 2023
La integración del tejido blando periimplantario sigue siendo fundamental para el éxito a largo plazo de la terapia con implantes. La formación de una barrera temprana y duradera para proteger las...
Implantología 04 Mayo 2022
Los implantes dentales tienen más del doble de probabilidades de fracasar en las personas que declaran ser alérgicas a la penicilina y a las que se les...
Dr. Fernando Hernández Ruiz de Azcárate Sección del Posgrado de Periodoncia, Universidad Complutense de Madrid.
Dr. Daniel Capitán MaraverLicenciado en Odontología por la Universidad de Barcelona (UB). Posgrado en Clínica en Implantología y Prótesis Oral por la UB.Máster en Investigación en...
Implantología 03 Mayo 2022
Dr. Herminio García RonceroDoctor en Odontología. Universitat Internacional de CatalunyaI (UIC).Profesor asociado del Máster de Odontología Restauradora y Estética de la UIC. Práctica...
Implantología 22 Marzo 2022
Las infecciones relacionadas con dispositivos sanitarios, tales como catéteres, implantes dentales, material ortopédico y compresas para heridas, se podrían...
Implantología 02 Marzo 2022
Dr. Alberto MonjeDirector área de Periodoncia, Clínica CICOM-MONJE, Badajoz.Departamento de Periodoncia, Universidad Internacional de Cataluña.Departamento de Periodoncia y Medicina Oral,...
Implantología 13 Enero 2022
Dr. Santiago Estrems Díaz Licenciado en Odontología UCH.CEU.Master en Endodoncia UCH.CEU.Master en Implantología y Rehabilitación Oral. ESORIB-NYU.Especialista en Implantología Avanzada....
Implantología 01 Diciembre 2021
Dr. Eduardo Anitua MD, PhD, DDSPráctica privada en implantología oral, Clínica Eduardo Anitua, Vitoria, España.University Institute for Regenerative Medicine and Oral Implantology - UIRMI...