HOME - Odontopediatría
 
 
28 Enero 2022

Adhesión del fragmento en una fractura corono-radicular complicada. Evolución clínica y radiológica al año


Dra. Asunción Mendoza Mendoza 
Catedrática de Odontopediatría de la Facultad de Odontología de la Universidad de Sevilla. 
Directora académica del Área de Odontopediatría de Instituto IDEO.




Dr. David Ribas Pérez 
Acreditado como Contratado Doctor. 
Profesor Asociado de Odontopediatría de la Facultad de Odontología de la Universidad de Sevilla. Profesor del Experto de Odontopediatría Clínica de Instituto IDEO.




Dra. María Biedma Perea 
Profesora Asociada de Odontopediatría de la Facultad de Odontología de la Universidad de Sevilla.
Profesora del Experto de Odontopediatría Clínica de Instituto IDEO.




RESUMEN
En este caso clínico de una fractura corono-radicular complicada en un incisivo central superior con desarrollo radicular incompleto, se describe el procedimiento de pulpotomía con Biodentine, así como la adhesión del fragmento. Para exponer los bordes de la fractura, comprobar la adaptación del fragmento y realizar su correcta adhesión, se realizó un colgajo mucogingival de espesor total. Seguidamente, se amputó parcialmente la pulpa coronal expuesta mediante una fresa redonda estéril a alta velocidad, se detuvo el sangrado presionando una bolita de algodón estéril empapada en clorhexidina al 2% y se colocó en la pulpa cameral Biodentine recién preparado (1 cápsula - 5 gotas). Finalizado el tratamiento pulpar, se procedió a la adhesión aplicando la técnica de grabado total (de esmalte y dentina) con ácido ortofosfórico, teniendo cuidado de retirar cuidadosamente los restos de adhesivo o composite que pudiesen causar inflamación y/o retraso en la cicatrización.
A los 12 meses de evolución, se observó salud pulpar y periodontal, no se apreció inflamación gingival y pudimos comprobar que se estaba completando el desarrollo apical.

Palabras clave: Crown-root fracture, Dental bonding, Dental trauma, Adhesive fragment Reattachment, Pulpotomy and Permanent teeth, Biodentine®

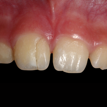
Fig. 1. Situación clínica: paciente de 8 años y 7 meses, con fractura corono-radicular complicada del 11 a las 12 horas del trauma. La línea de fractura es yuxtaósea en la parte mesial del diente, por lo que el fragmento continúa unido por las fibras del ligamento periodontal. Fig. 1. Situación clínica: paciente de 8 años y 7 meses, con fractura corono-radicular complicada del 11 a las 12 horas del trauma. La línea de fractura es yuxtaósea en la parte mesial del diente, por lo que el fragmento continúa unido por las fibras del ligamento periodontal.
Introducción 
Las fracturas corono-radiculares se definen como aquellas fracturas que afectan a esmalte, dentina y cemento. Su línea de fractura puede ser oblicua, en bisel o vertical, y en su trayecto puede comprometer a la pulpa, dividiéndose dependiendo de la posible afectación pulpar en:
Fracturas corono-radiculares no complicadas (aquellas que no afectan a la pulpa.)
Fracturas corono-radiculares complicadas (afectan a pulpa.)
Las causas etiológicas más comunes suelen ser las caídas, accidentes de bicicleta y automóvil o como consecuencia de un cuerpo extraño que impacta sobre el diente.
Cuando se localizan en la región anterior, la mayor parte de estas lesiones ocurren como consecuencia de un impacto directo sobre el diente, cuya fuerza y dirección determina el tipo de fractura, causando problemas estéticos, funcionales, psicológicos y fonéticos.
Si la fuerza del impacto excede la resistencia al corte de los tejidos duros dentarios, se producirá una fractura en la cara vestibular del diente que seguirá la dirección de los prismas del esmalte, adoptando posteriormente un trayecto oblicuo por debajo del surco gingival en el lado palatino. Aunque generalmente la línea de fractura suele ser única, en ocasiones pueden coexistir múltiples fracturas que comienzan donde finaliza la línea de fractura principal. Es por ello que, una vez visualizado el margen, con un explorador debemos verificar si existe movilidad anormal de algún otro fragmento, pues en el caso de no ser detectados, causarían reacciones inflamatorias y posibles complicaciones durante y después de finalizado el tratamiento.
Por contra, en las regiones posteriores, las lesiones suelen ocurrir como consecuencia de traumatismos indirectos, cuando al recibir un golpe sobre el mentón, la arcada inferior se cierra con fuerza sobre la superior. En estos casos se suelen producir fracturas coronarias o corono-radiculares en premolares o molares que afectan a las cúspides vestibulares o linguales de uno o varios dientes. Así, en este tipo de traumatismos, debemos examinar minuciosamente los cuatro cuadrantes pues, con frecuencia, las fracturas corono-radiculares de premolares o molares van acompañadas de fracturas no solo de la hemiarcada opuesta sino también del lado contralateral.
Tanto en las fracturas producidas por traumatismos directos como indirectos, el fragmento fracturado suele tener forma de cuña, debido a la dirección oblicua que tiene el recorrido de la línea de fractura a lo largo de la corona y de parte de la raíz del diente.
En las fracturas corono-radiculares casi siempre se produce exposición pulpar. Por tanto, la cavidad oral se va a poner en comunicación con la pulpa y con el ligamento periodontal, causando cambios histológicos tanto en el tejido pulpar como en el ligamento periodontal.
Las reacciones patológicas de la pulpa son básicamente las mismas que las observadas en las fracturas de corona tanto no complicadas como complicadas. Así, en el caso de exposición pulpar, en el punto de exposición aparecerá hemorragia, seguida de una inflamación pulpar aguda (exudado de fibrina, proliferación vascular y acumulo de leucocitos e histiocitos) y posterior colonización bacteriana. Los cambios siguientes en el tejido pulpar pueden ser proliferativos (formándose un pólipo pulpar en el punto de exposición) o destructivos (apareciendo necrosis pulpar y absceso).
Además de esto, puede verse una reacción clásica de inflamación en la encía a nivel de la línea de fractura, por debajo de la unión amelo-cementaría debido a la acumulación de placa, con acúmulo de leucocitos, histiocitos y fibroblastos, típico de la fase inflamatoria aguda. Con el paso del tiempo, en las fracturas no tratadas puede aparecer una proliferación del epitelio gingival marginal dentro de la cámara pulpar.
Estas fracturas no reparan por apósito de osteo-dentina, por lo que la única posibilidad de tratamiento suele ir enfocado a la remoción de fragmento coronal y la conservación del fragmento remanente.

Exploración clínica y radiológica
El diagnóstico clínico de este tipo de lesiones es sencillo cuando la única línea de fractura empieza a pocos milímetros del borde incisal de la cara vestibular de la corona y siguiendo un trayecto oblicuo termina por debajo del surco gingival en la cara palatina. Además, existirá movilidad, dolor a la masticación y desplazamiento de los fragmentos. Sin embargo, si la parte más profunda de la línea de fractura afecta al cemento, la corona se conserva en su posición gracias a la inserción de las fibras de ligamento periodontal, pudiendo muchas veces pasar por alto el diagnóstico correcto durante la exploración inicial.
Una vez diagnosticada la línea de fractura principal, siempre debemos continuar la exploración buscando líneas de fracturas secundarias que pueden pasar desapercibidas, al estar totalmente unidas por las fibras del ligamento periodontal.
Para completar el diagnóstico debemos determinar lo más exactamente posible la profundidad de la línea de fractura, realizando un sondaje periodontal con el paciente previamente anestesiado.
Los dientes son sensibles a los test de percusión por la movilidad del fragmento coronario y los test de sensibilidad son generalmente positivos por el fragmento apical.
El examen radiológico en numerosas ocasiones aporta pocos datos al diagnóstico clínico, debido a que la fractura oblicua casi siempre es perpendicular al haz central de rayos y a la inmediata proximidad de los fragmentos al permanecer unidos por las fibras periodontales. Por ello, al igual que en las fracturas radiculares, además de una radiografía oclusal, dos periapicales excéntricas (mesial y distal) y una periapical con proyección ortorradial (ángulo de 90º entre la placa radiográfica y el rayo que atraviesa el diente), habituales en todo traumatismo, en caso de duda, se recomienda al menos la realización de dos placas periapicales adicionales con una angulación del rayo + y - 15º con respecto a la exposición primaria.
La IADT recomienda incluso la realización de una tomografía de haz cónico (CBCT) en los casos en los que la radiografía convencional arroje resultados no concluyentes.
En lo que respecta al tratamiento en el caso de disponer del fragmento, su adhesión sería el tratamiento de urgencia de elección, instaurándose lo más rápidamente posible, evitando así que se originen los cambios histológicos e inflamatorios descritos anteriormente.
En las fracturas corono-radiculares complicadas con ápice abierto, nuestro principal objetivo será conservar la vitalidad pulpar para que continúe el desarrollo apical; por ello, dependiendo del tiempo transcurrido y del tamaño de la exposición, realizaremos un tratamiento que abarcaría desde el recubrimiento directo a la pulpotomía parcial y solo quitaremos la pulpa cuando clínica y radiológicamente confirmemos la necrosis pulpar, empleando para ellos materiales bioactivos como el hidróxido cálcico, MTA o Biodentine.
Finalizado el tratamiento pulpar, en ocasiones debemos realizar una pequeña gingivectomía o un colgajo mucogingival de espesor total para exponer los bordes de la fractura y, tras comprobar la adaptación del fragmento, se procederá a la adhesión. Para evitar la contaminación durante la adhesión del fragmento, realizamos un aislamiento minucioso, teniendo cuidado de que no quede resina remanente que produzca inflamación gingival.

*Puedes leer el artículo completo aquí

Artículos relacionados

Evaluación de la eficacia clínica de dos tipos de medicamentos comúnmente administrados para el tratamiento del dolor agudo después de extracciones dentales y el dolor asociado con pulpitis...


La terapia de ortodoncia mediante alineadores transparentes (CAT) está ganando cada vez más popularidad siendo preferida al tratamiento de ortodoncia fija tanto por profesionales como por pacientes...


ObjetivosVerificar la contribución del perfil de impacto en la salud bucal de las madres al perfil de salud bucal de sus hijos y la contribución del bienestar de las madres y el índice de caries...


La extracción de dientes en niños requiere prestar atención a la cicatrización de las heridas y al tratamiento del dolor, en los que influyen factores relacionados con el paciente y la...


Se trata de un líquido económico que combate las caries,  y  que normalmente se usa para tratar los dientes sensibles. Según un estudio reciente parece funcionar tan bien como los...


Otros artículos

Eventos     12 Julio 2024

Máster Expert Invisaling

Nombre: Máster Expert Invisalign

Fecha y lugar: 12 de julio al 16 de mayo de 2024. Sede: Transmisión On-Line

Organizador: Ortodoncia Invisible Formación (OIF)

Descripción: Máster online, en directo y en diferido donde ver las sesiones durante toda la formación. Es un Máster que cuenta con ponentes expertos en la técnica, donde en cada ponencia se verá un tema distinto. El Máster consta de 14 MasterClass, revisión de casos y sesiones clínicas y acceso a la App donde encontrarán recursos de interés, recomendaciones, tips, artículos, etc.. Nuestra formación las hacemos trabajando la experiencia, por ese motivo la parte práctica es fundamental y os acompañamos durante la formación con la ayuda del servicio Alumni en vuestros casos.





Eventos     04 Julio 2024

Curso de carillas inyectadas

Fecha y lugar de celebración: 4 de julio. Sede: MDC Dental (México)

Organizador: MDC Dental 

Descripción:  Aprendizaje de las técnicas actuales para garantizar la correcta transferencia de la planeación hacia el paciente, logrando más resultados satisfactorios tanto estéticos como de longevidad, haciendo más predecible el tiempo de vida, basada en funcionamiento y la estética del paciente.


Fecha y lugar de celebración: 30 de junio al 2 de julio. Sede: Puerto Vallarta 

Organizador: Líderes en Odontología.

Descripción: Este congreso, organizado por Líderes en Odontología, tendrá lugar del 30 de junio al 2 de julio en Puerto Vallarta (México).


Eventos     28 Junio 2024

Aislamiento Absoluto

Fecha y lugar de celebración: 28 y 29 de junio. Sede: MDC Dental Sucursal Los Algodones. Av. B 300, Vicente Guerrero, 21970 Vicente Guerrero, B.C

Organizador: MDC Dental

Descripción: Curso teórico y práctico muy intensivo de 2 días sobre aislamiento absoluto, adhesión y restauraciones directas. 

Este curso permite un correcto aislamiento absoluto en todo tipo de situaciones, desde las más sencillas a las más complejas, con un fuerte componente práctico en tipodontos. 



 
 

 
 
 
 
 
 

Calendario / eventos

 
 
 
 
 
 
 
 
 
 
 
 

Cursos