HOME - Odontopediatría
 
 
31 Agosto 2012

Puesta al día en avulsión dentaria: actualización y estudio en una muestra de población infanti


Introducción

El estudio de los traumatismos dentales ha tenido una gran importancia en todas las ramas de la Odontología, sobre todo en la odontopediatría, debido a su alta incidencia en la edad infantil y a que determinan una patología inmediata y urgente. El traumatismo plantea alteraciones dentales funcionales o de desarrollo (cuando se presentan en dentición temporal y afectan al germen del diente permanente), así como de otras estructuras, tales como los tejidos blandos bucales y peribucales. El traumatismo dentario más complicado, por sus connotaciones estéticas y su incierto pronóstico a largo plazo, es la avulsión dentaria.

Definición

La avulsión o la exarticulación se define como la salida completa de un diente de su alveolo (fig. 1).
Prevalencia de las avulsiones en la dentición permanente, según los siguientes factores:
• Sexo. Tradicionalmente, este tipo de traumatismo se ha asociado más a niños, debido a que éstos desarrollan más actividades deportivas de contacto y con movimientos bruscos. Sin embargo, en la actualidad, este dato está perdiendo valor, ya que los niños y las niñas tienden a igualar sus conductas. Así, la frecuencia de presentación de lesiones en uno y otro género tiende a equilibrarse.
• Edad. Los accidentes que dan lugar a la avulsión de los dientes tienen mayor incidencia entre los siete y los nueve años, cuando los incisivos permanentes están erupcionando.
• Frecuencia. Dentro de los traumatismos dentales en la dentición permanente, la avulsión presenta una frecuencia de entre el 0,5% y el 16%. Los dientes más propensos a sufrir avulsión son, según Barbería1 y Martín Trope2, aquellos que están en fase de erupción, ya que su ligamento periodontal tiene una estructura muy laxa y un impacto leve podría producirla.
Según coincide la mayoría de los autores3-10, los dientes que con más frecuencia sufren avulsión son los incisivos centrales superiores, tanto temporales como permanentes.

Etiología

Existen numerosas y variables causas de los traumatismos dentales. Así, destacan el maltrato infantil, las caídas, los choques, los accidentes automovilísticos5,11 y, sobre todo, las actividades deportivas5,11,12.
Factores predisponentes

Algunos de los más importantes son un resalte mayor de 4 mm13-15 (fig. 2), el labio superior corto, la respiración oral, la mordida abierta y los labios incompetentes15.

Tratamiento

En los dientes temporales, el tratamiento de elección es la no reimplantación. Por el contrario, en los dientes permanentes se opta por el reimplante inmediato, en el que el mejor pronóstico se obtiene cuanto menor sea el tiempo extraoral del diente avulsionado7,9,15-18, por el efecto que éste tiene en la viabilidad de las células del ligamento periodontal. Por este motivo, el tiempo y el medio de almacenamiento y transporte del diente avulsionado, desde que ocurre el accidente hasta que tiene lugar el reimplante, son aspectos de gran importancia:
• Fuera de la consulta. En caso de que pueda realizarse, el reimplante inmediato de la pieza debe llevarse a cabo durante los primeros 15 o 20 minutos11, con una correcta limpieza de la misma y una colocación lo más atraumática posible –el odontólogo podrá facilitar las instrucciones pertinentes por vía telefónica–. Si no es viable proceder de este modo, se debe conservar el diente en un líquido adecuado. Los medios húmedos extraorales considerados actualmente para mantenerlo son, por orden de idoneidad: la solución salina balancea­da de Hank, leche desnatada pasteurizada a 4° centígrados, suero fisiológico, saliva y, por último, agua.
• Dentro de la consulta17. Los tratamientos en las clínicas siguen los siguientes pasos:
a) Limpiar la raíz sin frotarla, mediante el irrigado de la misma con suero fisiológico, y mantener el diente hidratado, para lo que se sumergirá en uno de los medios anteriormente citados. Este paso se realiza mientras se prepara el alveolo.
b) Es preciso irrigar el alveolo con suero fisiológico, para eliminar el coágulo formado y los posibles restos de contaminación residual, pero sin legrarlo, para no destruir las fibras periodontales del lecho. Si el hueso del alveolo ha sufrido un colapso que impida el reimplante o haga que éste sea traumático, habrá que introducir un instrumento romo con mucho cuidado en su interior, para intentar devolver la pared a su posición original11.
c) Según la mayoría de los autores2,19, se debe preparar la raíz de la siguiente manera:
1) El ápice del diente avulsionado está cerrado:
- Si el tiempo extraoral es menor de 60 minutos, se debe reimplantar lo antes posible.
- Si el tiempo extraoral es mayor de 60 minutos, se recomienda sumergir el diente en una solución de fluoruro sódico durante cinco o diez minutos y, posteriormente, reimplantarla. De este modo, se disminuye la magnitud de la reabsorción posterior2,7.
2) El ápice del diente avulsionado está abierto:
- Si el tiempo extraoral es menor de 60 minutos, se aconseja humedecer el diente en doxiciclina (aproximadamente 1 mg/20 ml de suero salino) durante cinco minutos, para, más tarde, reimplantarlo, de manera que se consiga prevenir la reabsorción posterior de la raíz2,17,19.
- Si el tiempo extraoral es mayor de 60 minutos, se procederá igual que con el ápice cerrado.
d) Posteriormente a la preparación radicular, se reimplantará el diente con una ligera presión.
e) Se recomienda asegurar una correcta posición dentaria mediante el registro radiográfico, cuyo momento de realización varía según los autores consultados. Así, Martín Arroyo y cols.17 sugieren llevarla a cabo antes de la ferulización, mientras que Gutmann y cols.11 y Alventosa7 aconsejan que se realice tras la misma.
f) La mayoría de los autores7,11,17,19 coincide en la necesidad de colocar una férula semirrígida de siete a diez días10 (alambre más composite, resina continua, fibra de vidrio o férulas de titanio). Debe ser pasiva y lo suficientemente rígida para lograr la inmovilidad, aunque no tanto como para que favorezca la anquilosis. Debe interferir poco o nada con las funciones normales de la cavidad oral.
g) Se debe destacar al paciente la importancia de mantener una correcta higiene, para evitar la infección retrógrada a partir de la placa bacteriana. Se recomendará el uso de geles con clorhexidina17. Es conveniente también derivar al pediatra, para que valore la necesidad de prescripción de dosis de recuerdo de antitetánica o vacunación7. La mayoría de los autores2,17 señala la importancia de la administración de fármacos (analgésicos y antibióticos2,7,11,17).
h) Antes de la retirada de la férula, se citará al paciente para una segunda visita, en la que se realizará el tratamiento endodóncico:
1) En el caso de que sea un diente con ápice abierto y tiempo extraoral menor de 60 minutos, el tratamiento idóneo es no endodonciar inicialmente y monitorizar al paciente cada tres o cuatro semanas, para ver los signos de revascularización o patología19. Si existiera esta última, se realizará un tratamiento pulpar.
2) Si el diente se encuentra con el ápice abierto y con un tiempo extraoral mayor de 60 minutos, los autores recomiendan realizar el tratamiento pulpar directamente.
3) En el caso de que el diente se encuentre con el ápice cerrado, la mayoría de los autores aconseja realizar el tratamiento de conductos y rellenarlos con hidróxido de calcio en una primera sesión, para después obturar los conductos de manera definitiva17.

Prevención de estas lesiones

La medidas de prevención más útiles son el uso los protectores bucales (fig. 3), sobre todo en las lesiones producidas durante alguna actividad deportiva que conlleve cierta violencia; los cinturones de seguridad en los automóviles y los cascos en las motos y las bicicletas. También es importante que los padres y los educadores aprendan todas las medidas preventivas que se consideren oportunas, así como los protocolos de actuación de primeros auxilios en caso de avulsión dentaria.
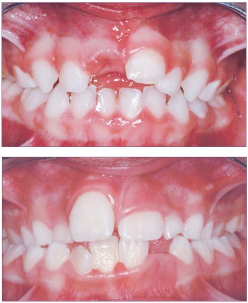
En dientes temporales, es muy importante realizar un seguimiento exhaustivo del caso, por la posible aparición de secuelas en el diente permanente sucesor, tales como la decoloración, la decoloración unida a hipoplasia (fig. 4), la dilaceración coronaria, el odontoma, la duplicación radicular, la dilaceración radicular a vestibular o lateral, la detención de la formación radicular, el secuestro del germen permanente y la alteración de la erupción del mismo3 (fig. 5).

Artículos relacionados

Evaluación de la eficacia clínica de dos tipos de medicamentos comúnmente administrados para el tratamiento del dolor agudo después de extracciones dentales y el dolor asociado con pulpitis...


La terapia de ortodoncia mediante alineadores transparentes (CAT) está ganando cada vez más popularidad siendo preferida al tratamiento de ortodoncia fija tanto por profesionales como por pacientes...


ObjetivosVerificar la contribución del perfil de impacto en la salud bucal de las madres al perfil de salud bucal de sus hijos y la contribución del bienestar de las madres y el índice de caries...


La extracción de dientes en niños requiere prestar atención a la cicatrización de las heridas y al tratamiento del dolor, en los que influyen factores relacionados con el paciente y la...


Se trata de un líquido económico que combate las caries,  y  que normalmente se usa para tratar los dientes sensibles. Según un estudio reciente parece funcionar tan bien como los...


Otros artículos

Eventos     12 Julio 2024

Máster Expert Invisaling

Nombre: Máster Expert Invisalign

Fecha y lugar: 12 de julio al 16 de mayo de 2024. Sede: Transmisión On-Line

Organizador: Ortodoncia Invisible Formación (OIF)

Descripción: Máster online, en directo y en diferido donde ver las sesiones durante toda la formación. Es un Máster que cuenta con ponentes expertos en la técnica, donde en cada ponencia se verá un tema distinto. El Máster consta de 14 MasterClass, revisión de casos y sesiones clínicas y acceso a la App donde encontrarán recursos de interés, recomendaciones, tips, artículos, etc.. Nuestra formación las hacemos trabajando la experiencia, por ese motivo la parte práctica es fundamental y os acompañamos durante la formación con la ayuda del servicio Alumni en vuestros casos.





Eventos     04 Julio 2024

Curso de carillas inyectadas

Fecha y lugar de celebración: 4 de julio. Sede: MDC Dental (México)

Organizador: MDC Dental 

Descripción:  Aprendizaje de las técnicas actuales para garantizar la correcta transferencia de la planeación hacia el paciente, logrando más resultados satisfactorios tanto estéticos como de longevidad, haciendo más predecible el tiempo de vida, basada en funcionamiento y la estética del paciente.


Fecha y lugar de celebración: 30 de junio al 2 de julio. Sede: Puerto Vallarta 

Organizador: Líderes en Odontología.

Descripción: Este congreso, organizado por Líderes en Odontología, tendrá lugar del 30 de junio al 2 de julio en Puerto Vallarta (México).


Eventos     28 Junio 2024

Aislamiento Absoluto

Fecha y lugar de celebración: 28 y 29 de junio. Sede: MDC Dental Sucursal Los Algodones. Av. B 300, Vicente Guerrero, 21970 Vicente Guerrero, B.C

Organizador: MDC Dental

Descripción: Curso teórico y práctico muy intensivo de 2 días sobre aislamiento absoluto, adhesión y restauraciones directas. 

Este curso permite un correcto aislamiento absoluto en todo tipo de situaciones, desde las más sencillas a las más complejas, con un fuerte componente práctico en tipodontos. 



 
 

 
 
 
 
 
 

Calendario / eventos

 
 
 
 
 
 
 
 
 
 
 
 

Cursos