HOME - Cirugía Oral
 
 
08 Abril 2024

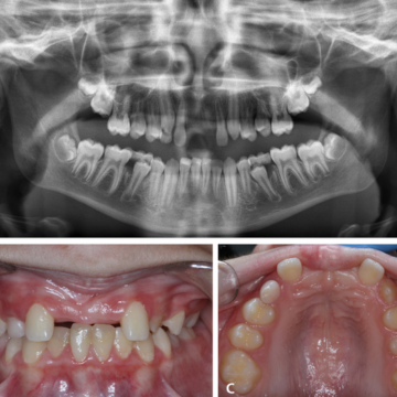
Avances en autotransplante dental


Introducción
El autotrasplante dental (AT) implica la reubicación quirúrgica de un diente de un sitio de la boca a otro sitio dentro del mismo paciente. Este enfoque es una buena opción en un paciente en crecimiento cuando la colocación de implantes dentales o puentes fijos no son adecuados y cuando preservar los dientes naturales es una prioridad. El autotrasplante dental es un procedimiento complejo que requiere habilidades especializadas de un equipo multidisciplinario con una cuidadosa selección de pacientes y dientes y planificación del tratamiento.

Métodos
Los autores proporcionaron una revisión del estado del conocimiento y la investigación sobre la AT dental y presentaron un caso práctico y las barreras para la adopción, centrándose en Estados Unidos.

Resultados
Las tasas de éxito de la AT dental pueden variar según varios factores, incluida la salud general del paciente, el diente específico involucrado, la habilidad del cirujano dentista y la atención posoperatoria brindada. En la literatura se han citado los resultados a largo plazo de los dientes autotrasplantados con un seguimiento longitudinal impresionante que abarca hasta 26 años. Los resultados de varias revisiones sistemáticas mostraron tasas de supervivencia del 75% al ​​98%.

Conclusiones 
La adopción de la AT dental ha crecido a lo largo de los años, debido a los avances en las técnicas dentales, mejores resultados para los pacientes y una mayor concienciación tanto entre los dentistas como entre los pacientes. Aumentar la conciencia y la disponibilidad de la AT dental para reemplazar los dientes perdidos puede proporcionar una alternativa natural y funcional a las opciones protésicas tradicionales. El AT ayuda a preservar el hueso alveolar en pacientes en crecimiento y puede ofrecer excelentes resultados estéticos y funcionales.

Artículos relacionados

El autotrasplante dental (AT) implica la reubicación quirúrgica de un diente de un sitio de la boca a otro sitio dentro del mismo paciente. Este enfoque es una buena opción en un paciente en...


Otros artículos

Eventos     12 Julio 2024

Máster Expert Invisaling

Nombre: Máster Expert Invisalign

Fecha y lugar: 12 de julio al 16 de mayo de 2024. Sede: Transmisión On-Line

Organizador: Ortodoncia Invisible Formación (OIF)

Descripción: Máster online, en directo y en diferido donde ver las sesiones durante toda la formación. Es un Máster que cuenta con ponentes expertos en la técnica, donde en cada ponencia se verá un tema distinto. El Máster consta de 14 MasterClass, revisión de casos y sesiones clínicas y acceso a la App donde encontrarán recursos de interés, recomendaciones, tips, artículos, etc.. Nuestra formación las hacemos trabajando la experiencia, por ese motivo la parte práctica es fundamental y os acompañamos durante la formación con la ayuda del servicio Alumni en vuestros casos.





Eventos     04 Julio 2024

Curso de carillas inyectadas

Fecha y lugar de celebración: 4 de julio. Sede: MDC Dental (México)

Organizador: MDC Dental 

Descripción:  Aprendizaje de las técnicas actuales para garantizar la correcta transferencia de la planeación hacia el paciente, logrando más resultados satisfactorios tanto estéticos como de longevidad, haciendo más predecible el tiempo de vida, basada en funcionamiento y la estética del paciente.


Fecha y lugar de celebración: 30 de junio al 2 de julio. Sede: Puerto Vallarta 

Organizador: Líderes en Odontología.

Descripción: Este congreso, organizado por Líderes en Odontología, tendrá lugar del 30 de junio al 2 de julio en Puerto Vallarta (México).


Eventos     28 Junio 2024

Aislamiento Absoluto

Fecha y lugar de celebración: 28 y 29 de junio. Sede: MDC Dental Sucursal Los Algodones. Av. B 300, Vicente Guerrero, 21970 Vicente Guerrero, B.C

Organizador: MDC Dental

Descripción: Curso teórico y práctico muy intensivo de 2 días sobre aislamiento absoluto, adhesión y restauraciones directas. 

Este curso permite un correcto aislamiento absoluto en todo tipo de situaciones, desde las más sencillas a las más complejas, con un fuerte componente práctico en tipodontos. 



 
 

 
 
 
 
 
 

Calendario / eventos

 
 
 
 
 
 
 
 
 
 
 
 

Cursos