HOME - Medicina Oral
 
 

Medicina oral


Leucoplasia (IV). Diagnóstico e histopatología


Caso clínico LXXI


Medicina Oral     04 Octubre 2011

Caso clínico LXIX

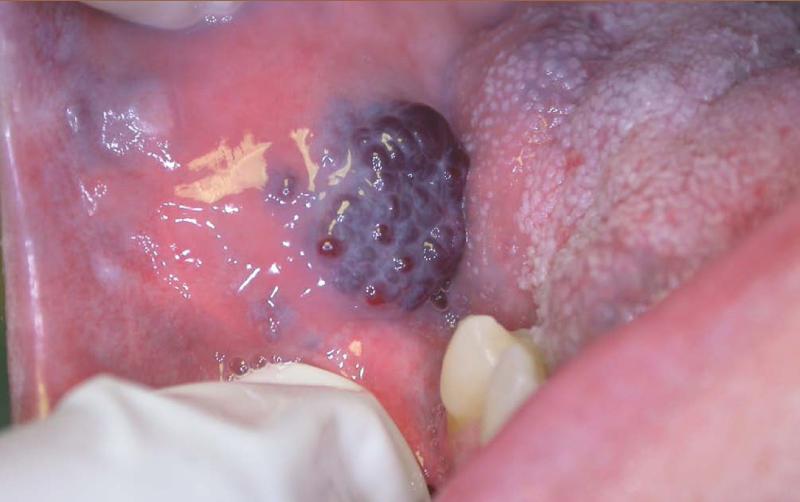
Descripción del caso Al realizar la exploración intraoral a una mujer de 56 años, se descubre en su mucosa yugal una lesión exofítica, de color negruzco y...


Medicina Oral     01 Septiembre 2011

Caso clínico LXVIII

Descripción del caso Una paciente de 95 años acude a la consulta acompañada de sus familiares, quienes refieren que se queja, desde hace unos seis meses, de dolor en la...


Medicina Oral     12 Julio 2011

Caso clínico LXVII

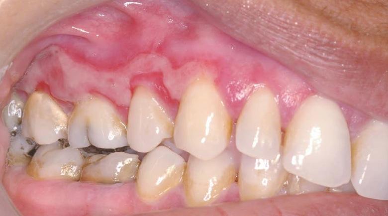
Descripción del caso Una mujer de 44 años acude a su dentista por la presencia de, según ella misma denomina, llagas en sus encías desde hace unos seis meses. Pese a...


Medicina Oral     09 Junio 2011

Caso clínico LXVI

Descripción del caso Una paciente de 88 años, desdentada total, acude a su dentista para que le realice unas prótesis nuevas. Al proceder a la exploración, se descubren...


Medicina Oral     12 Abril 2011

Caso clínico LXV

nº142 abril 2011


Medicina Oral     15 Marzo 2011

Caso clínico LXIV

nº141 marzo 2011


Medicina Oral     01 Marzo 2011

Apnea del sueño.

La importancia de la apnea del sueño en el mundo de la odontología, durante el segundo congreso nacional sobre esta materia.


Medicina Oral     18 Febrero 2011

CASO CLÍNICO LXIII

Diagnóstico anatomopatológico e inmunopatológico


Medicina Oral     14 Enero 2011

CASO CLÍNICO LXII

Fibromatosis gingival, (fibromatosis del paladar)


Medicina Oral     15 Diciembre 2010

CASO CLÍNICO LXI

nº138 diciembre 2010


Medicina Oral     12 Noviembre 2010

CASO CLÍNICO LX

Descripción del caso Un varón de 57 años refiere que hace seis meses empezó a sentir molestias en el lado derecho de la lengua, que han ido en aumento y actualmente le...


Medicina Oral     29 Septiembre 2010

CASO CLÍNICO LIX

nº136 octubre 2010


Medicina Oral     23 Septiembre 2010

CASO CLÍNICO LVIII

nº135 sept. 2010


Página de 3        Primera    Anterior   2    3  

 
 

 
 
 
 
 
 

Calendario / eventos

 
 
 
 
 
 
 
 
 
 
 
 

Cursos